Blog
Botox στο πέος και Scrotox
Εφαρμογές της αλαντικής τοξίνης στα αντρικά γεννητικά όργανα για λειτουργικά και αισθητικά προβλήματα. Περιγραφή των τεχνικών.
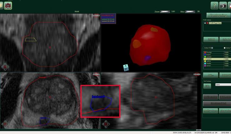
Biopsee
Η περινεϊκή βιοψία του προστάτη με συγχώνευση των δεδομένων της μαγνητικής τομογραφίας επιτρέπει τη βελτίωση της διαγνωστικής ικανότητας της βιοψίας με λιγότερες επιπλοκές.
Rezum, Urolift, iTind
Οι νεότερες ελάχιστα επεμβατικές τεχνικές για την υπερπλασία του προστάτη φέρνουν ανακούφιση από τα συμπτώματα του προστάτη με ελάχιστες παρενέργειες και χωρίς την ανάγκη για αναισθησία.
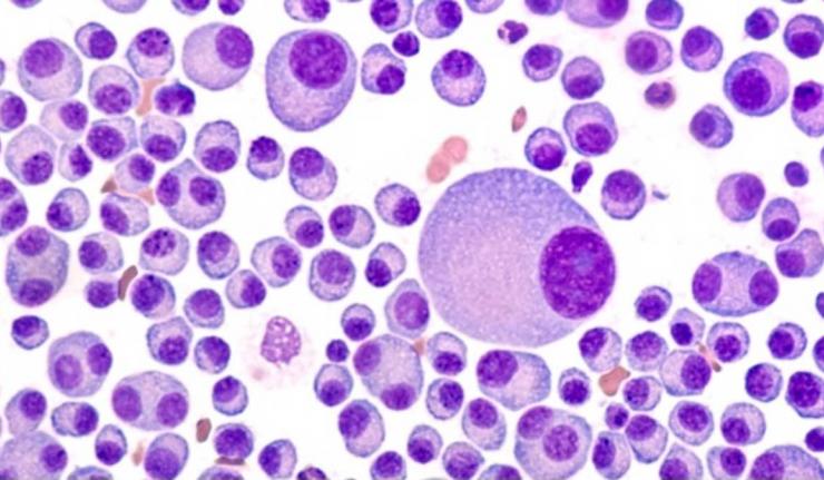
Πολλαπλό μυέλωμα
Το πολλαπλό μυέλωμα είναι ένας καρκίνος του αίματος ο οποίος ξεκινάει από έναν κλώνο πλασματοκυττάρων. Η σεξουαλική δυσλειτουργία είναι ένα σύμπτωμα που αναφέρεται συχνά από ασθενείς που έχουν επιβιώσει από καρκίνο και ιδίως από αυτούς που έχουν υποβληθεί σε χημειοθεραπεία και/ή ακτινοθεραπεία.






